与死神竞技 为生命发力——平度市第三人民医院胸痛中心成功救治多名急性心肌梗死患者
来源:鲁网

鲁网1月23日讯近期,平度市第三人民医院胸痛中心凭借无缝衔接的多学科协作,连续救治多名急性心肌梗死患者,用实际行动诠释了“时间就是心肌,时间就是生命”的急救理念,用高效协作书写了生死救援的动人篇章。
病例一
2025年12月31日,7点30分患者王某,女,57岁,突发胸痛10小时就诊于平度市第三人民医院胸痛中心,值班医生迅速为患者完善床旁心电图检查,检查结果提示“急性下壁心肌梗死”。与患者家属进行了充分沟通,并建议行急诊冠脉介入治疗。患者家属在了解情况后,毫不犹豫地同意并签字。随后,患者被送入导管室。术中造影结果显示:右冠状动脉近段99%狭窄,可见血栓影,TIMI血流2级。
与患者家属沟通并获得同意后,医护人员迅速为患者介入诊疗,成功在右冠近段置入4.0×23mm支架一枚。
介入干预后,患者胸痛、胸闷症状明显减轻,术后收住心血管内科病区继续治疗。住院期间患者病情平稳,恢复情况良好。



病例二
1月5日 ,23点00分,患者高某,女,71岁,突发胸闷憋气6小时就诊于平度市第三人民医院胸痛中心,值班医生迅速为患者完善床旁心电图检查,检查结果提示“窦性心动过缓、急性下壁心肌梗死、III度房室传导阻滞”。测血压86/60mmHg,合并心源性休克,患者病情危重,立即抢救。建立静脉通路,快速补液,应用血管活性药物升压等。患者平日身体一般状况较差,目前病情危重,王建东副主任医师与患者家属进行了充分沟通,并建议行急诊冠脉介入治疗。患者家属对患者病情充分知情,经充分考虑后同意并签字。随后,患者被送入导管室。术中造影结果显示:右冠状动脉近段完全闭塞,TIMI血流0级。
与患者家属沟通并获得同意后,医护人员迅速为患者介入诊疗,将6F SAL.75指引导管送至RCA开口处,将SION导引导丝送至RCA病变远端,以2.0×15mm 球囊预扩张(10ATM/5S)后,复查造影,可见血栓影,送入抽吸导管抽吸血栓,抽出红色长条血栓,复查造影远段无复流,冠脉内给予注射用重组人TNK组织型纤溶酶原激活剂2mg冠脉溶栓,复查造影TIMI血流3级,于病变处植入3.0×18mm药物洗脱支架(16ATM/5S)一枚,无明显残余狭窄,TIMI血流3级。术中应用硫酸阿托品注射液、重酒石酸去甲肾上腺素注射液、盐酸多巴胺注射液等抢救药物。
介入干预后,患者胸痛、胸闷症状明显减轻,术后收住CCU病区继续治疗。住院期间患者经历了心源性休克,急性心力衰竭,肺部感染,肝功能受损等重重难关,病情逐渐平稳,转心内科普通病区,住院8天,康复出院。
患者出院1周后到平度市第三人民医院心内科门诊复查,各项指标恢复良好,老人回归正常生活。





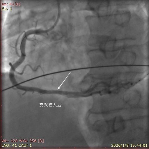
病例三
1月8日,17点40分患者潘某,男,51岁,江苏省人,因公来平度市新河化工园区出差,突发胸痛30分钟,就诊于当地胸痛救治单元,救治单元值班医师第一时间识别患者为高危胸痛,初步诊断为急性ST段抬高型心肌梗死,立即联系平度市第三人民医院胸痛中心,呼叫120,负荷量双联抗血小板聚集药物,吸氧,监护。急救中心接到呼叫后,立即出车。期间当地值班医师,患者的同事,领导都鼓励患者树立战胜疾病的信心!患者亲人未在身边,汇报给李丽院长助理,要求绿色通道,全力救治病人。院内导管室启动并激活。患者到达医院后绕行急诊和CCU直达导管室。冠脉造影提示右冠远段斑块破溃,99%狭窄,植入支架一枚,完全血运重建。胸痛救治单元与胸痛中心接力救治病人,无缝衔接,挽救了患者的生命,得到了患者及家人,同事,领导的赞许。(鲁网记者)



责任编辑:刘亮亮





黑公网安备 23010302001359号