消化道肿瘤MDT+双镜联合手术!解决胃内8cm肿瘤,还保住了这两个“关键门”……
来源:鲁网

鲁网4月14日讯45岁患者查出胃肿瘤,以传统手术方式可能直接切掉大半个胃,但在北京大学人民医院青岛医院消化道肿瘤MDT智囊团量身定制方案,最后决定:双镜联合手术!不仅将8cm肿瘤完整切掉,还将贲门幽门全保住,最大程度提高生活品质,这正是MDT的意义:一群顶尖专家以集体智慧选择最优治疗方案!具体怎么做的?往下看……


近期,45岁高女士(化名)因“腹痛10h”恶心、呕吐2次紧急到北京大学人民医院青岛医院就诊。2个月内,她曾有2次腹痛病史,均为夜间发作,自行口服药物后感觉症状好转。这一次仍为夜间疼痛发作,较前加重,口服药物未见缓解,凌晨3点赶到成人急诊科。

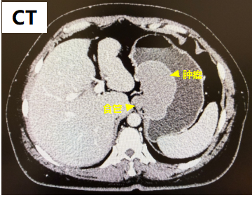
成人急诊科给予CT检查,提示胃小弯处有占位性病变,大小约8cm*4cm,接近成年人手掌大小,高女士被迅速收入普外科。
“胃还能保住吗?以后还能正常吃饭吗?”这些问题,几乎每一个胃肠肿瘤患者都会问。在北京大学人民医院青岛医院,疑难消化肿瘤患者诊疗决策的背后,都站着MDT智囊团,这正是消化道肿瘤MDT团队的核心底色。
高女士入院后,普外科给予镇痛营养支持对症治疗,完善胸腹强化CT及胃肠镜检查。考虑胃间质瘤?平滑肌瘤?随后,所有检查资料被提交给了MDT团队。专家们拿到的不是零散的几张片子,而是一条完整的时间线和一个立体的病情画像。

消化道肿瘤MDT团队的领衔者是我国著名胃肠外科领域专家、北京大学人民医院胃肠外科专家叶颖江教授。团队成员包括北京大学人民医院胃肠外科、消化内科、放射科、肿瘤科、放疗科、病理科等多学科顶尖专家,常态化进驻青岛医院。截至目前,团队已经完成了200余例疑难病例讨论,让青岛及周边患者足不出市,就能享受到与北京同质化的规范化诊疗。
MDT讨论后给出了一致意见:可以直接手术,但采用一种既能完整切除肿瘤、又能最大限度保留胃功能的方式,即由胃肠外科联合消化内科行“双镜联合下胃肿瘤切除术”。
该术式的亮点在于完整保留胃的两个门,贲门和幽门。
胃可以理解为:一个“消化袋”+两个“门”
贲门(入口门)
1.控制食物进入 2.防止胃酸反流
幽门(出口门)
1.控制食糜排出 2.防止胆汁反流
在胃肿瘤治疗中,如果能够保留这两个门,胃的功能基本可以接近正常。
但高女士的肿瘤偏偏长在胃小弯侧,紧邻贲门。按照传统的手术方式,高女士这种情况几乎没有保留胃功能的可能。
传统胃大切手术分为两种






黑公网安备 23010302001359号